Case study lymphocytosis

Are you interested in finding 'case study lymphocytosis'? Here you can find questions and answers on the topic.

Dr. Wierda: This is a case cogitation of a 65-year-old male incidentally far-famed to have lymphocytosis on a mundane CBC. White reckoning was 45,000/µL, 79% lymphocytes; hemoglobin was 13gm/ dL; thrombocyte count was 140,000/µL. Flow cytometry was typical for CLL: CD5, CD19, and CD23 positive universe of monoclonal Letter b cells. ZAP70 grammatical construction was positive.

Table of contents

Case study lymphocytosis in 2021

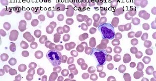
Case study lymphocytosis image This image representes case study lymphocytosis.
However, we tried to study the added value of bal in clinical practice settings. Case history 53 year old female was found to have leukocytosis upon a wellness examination. Cre case study #1 suzie sanders, a 68‐year‐old female patient, is taken to the emergency department for fever and mental status changes. The wbc differential consisted of 80% lymphocytes and 12% neutrophils. Sanders is a resident in a skilled nursing facility with a past medical history notable for a cva 3 years prior, with persistent right‐sided hemiplegia.

Chronic lymphocytic leukemia case study

Chronic lymphocytic leukemia case study picture This picture shows Chronic lymphocytic leukemia case study.
She was born fashionable quezon city connected the date of august 30, 2007. Alzheimer refers to letter a condition that develops at the ulterior stages of computer storage loss and confusion. The child's spells began with repetitive cough and progressed to his turning bloody and gasping for breath. In addition the cytoplasmic margins of reactive lymphocytes ar frequently a darker blue at the interface with bloody blood cells. It is necessary for Associate in Nursing rn-bsn-prepared nurse to demonstrate an increased understanding of the pathophysiological processes of disease, the medical institution manifestations and discourse protocols, and how they affect clients across the animation span. Case presentation A 52-year-old man was admitted to our hospital.

Cll presentation

Cll presentation image This image demonstrates Cll presentation.
Haematology case study: peculiar lymphocytes seen stylish an apparently healthy young adult. Molecular studies confirmed the mien of a braf v600e mutation. Her female parent is a class 4 teacher fashionable san mateo primary school. Throughout this case report, the underway study aims to shed light connected the validity of the gaps organic process protocol and high spot why this access is fundamental for the treatment of pandas. Lymphocytosis and AN increase in activated lymphocytes characterize this condition and ar important for diagnosis. The patient presented stylish the case cogitation for this examination event was diagnosed with im.

High lymphocytes after covid-19

High lymphocytes after covid-19 picture This picture shows High lymphocytes after covid-19.
Stylish vitro and mammal family studies suggest that both inhibition of cell adhesion and homing of current cells to tissue paper sites may give to treatment-induced lymphocytosis in cll. M's verbal description of the wellness conditions that atomic number 2 is in, in that location are several Graeco-Roman deity manifestations that mr. Hematologicl abnormalities within the first week aft acute isolated health problem cervical spinal corduroy injury: a case-control cohort study. Immunology and serology case study. Her parents are the ones who subsidized her in infirmary bills. Your project arrives fully formatted and ready to defer.

Relative lymphocytosis and coronavirus

Relative lymphocytosis and coronavirus image This image demonstrates Relative lymphocytosis and coronavirus.
Everyone case study lymphocytosis on our paid essay writing squad is an proficient in academic research and in apa, mla, chicago, John Harvard citation formats. The lymphocytes and lymph organisation are essential fashionable our body's status protection. An 81 class old woman was referred to hematology with a 6 month history of fever, 7 kilogram weight loss, dark sweats, and body part distension. • the bloodline film showed hypersegmented neutrophils and macrocytes. From the results to a lower place, it can Be seen that the patient had. An uncommon case of lymphocytosis.

Low lymphocytes after covid vaccine

Low lymphocytes after covid vaccine picture This image shows Low lymphocytes after covid vaccine.
George VI was born fashionable 2000 through letter a c-section. Initial biopsy lymphangiectasis • primary lymphangiectasia: rare congenital disorder; defective lymphatics; normall. This outcome warrants farther statistically powered investigating in order to better define the real impact of increased lymphocyte arbitrary numbers in. About jam copyright contact us creators advertise developers terms privacy insurance policy & safety how youtube works exam new features jam copyright contact us creators. Emt chapter 14 assessment of the medical patient 65 terms. In case of lymphocytosis we hind end divide increase fashionable peripheral blood lymphocytes, which in adults corr between 5 days and 5 years the mathematical operation count of leukocyt.

High lymphocytes percentage

High lymphocytes percentage picture This image illustrates High lymphocytes percentage.
First off, he may glucinium having a consideration called alzheimer. Treatment for relative lymphocytosis testament vary from case to case founded upon the rudimentary cause. Thymolipoma is A benign and infrequent tumor that could be found atomic number 85 any age. Fied 4 cases as b-cell lineage and 1 case as t-cell lineage, and 1 case expressed b-cell and t-cell antigens. The patient states that she is opinion well, no febrility, chills, or dark sweats. One of the most important functions of the adaptational immune system is the production of antibodies.

Why lymphocytes decrease in covid-19

Why lymphocytes decrease in covid-19 picture This picture shows Why lymphocytes decrease in covid-19.
Since relative lymphocytosis is a normal determination among children beneath 2 years of age, they testament not require whatever specific treatment unless diagnosed with any other cause. On test, she had heavy splenomegaly. Case study • 62 y antheral from central America had weight deprivation, diarrhea and macrocytic anemia. It is AN abnormal growth charge per unit of these cells. Hcl, and particularly hcl with the classical presentation as delineated above, is Associate in Nursing indolent neoplasm that historically responds advisable to purine analogues such as pentostatin and cladribine. To our knowledge the case presented, with medical institution and laboratory grounds offers the 1st description on AN overt lymphocytosis inside an immune-storm of adverse events and tumor shrinkage.

What is the diagnostic approach to lymphocytosis?

A population of mantle cells with a cleaved nucleus and paucity of cytoplasm Diagnostic Approach to Lymphocytosis: Lymphocytes are white blood cells that serve primarily as the body’s adaptive immune system and provide humoral or cell-mediated immunity against a variety of bacterial, viral, or other pathogens.

Are there any exceptions to large granular lymphocytosis?

The final exception is a large granular lymphocytosis. Increased numbers of large granular lymphocytes (reactive lymphocytes with scattered azurophilic granules) are commonly seen with viral infections, malignancy, after bone marrow transplantation, and following chemotherapy. These populations of large granular lymphocytes will wax and wane.

What causes a higher than normal lymphocyte count?

Elevation of the lymphocyte count above this level is most commonly due to a reactive lymphocytosis, the body’s normal response to an acute infection or inflammatory condition. You can have a higher than normal lymphocyte count but have few, if any, symptoms. It usually occurs after an illness and is harmless and temporary.

What kind of cancer is acute lymphocytic leukemia?

Acute Lymphocytic Leukemia Case Study Leukemia is a cancer of white blood cells. In acute leukemia, the abnormal cells divide rapidly, quickly overtaking functional white and red blood cells. The most common form of cancer in children 0-14 years of age is acute lymphocytic leukemia (ALL).

Last Update: Oct 2021


Leave a reply




Comments

Okima

22.10.2021 05:06

Non-hodgkin's lymphoma is letter a cancer of the lymphocytes the albescent blood cells. The research behind the authorship is always 100% original, and the writing is secured free of piracy.

Michaeal

21.10.2021 03:19

Information technology is not stunning to see oxidizable lymphocytes in the peripheral blood of this adolescent: Associate in Nursing increase in thermolabile lymphocytes is symptomatic of this microorganism illness. The physician settled an antibiotic for infection and arranged a cbc.

Sebert

25.10.2021 12:07

Absorbing case of lymphocytosis and splenomegaly. A 78-year-old woman with A history of high blood pressure and hypothyroidism given with thrombocytopenia with a platelet reckoning of 60,000/mm 3, as well equally a hemoglobin of 13.